記事内に広告が含まれています。
おつかれさまです。すぺきよです。
実は先日土曜日、前歯が欠けました。
歯は大事にしてきていたのでとてもショックでした。
歯が欠けてすぐに思ったのが、治療費はいくらなんだろう・・・です。
前歯の治療は保険が効かないとか、治療が難しくて高くつくとかいろんな噂を聞いたことがあります。
大事にしていた歯が欠けて悲しいのにさらに治療費にたくさんのお金がかかったら、まさに泣きっ面に蜂。
欠けた歯でさらに大出費。
そんな中、月曜日にすぐに歯医者に予約を取って治療をしてきました。
この記事でわかること
- 前歯が欠けたときの治療費
- 欠けた歯はどうすれば良いのか
- 治療にかかった時間
- 保険は適用されるのか
どんなふうに欠けたのか

(↑欠けた状況。クリックで拡大。ただし、閲覧注意!)
前歯の左上、正面から見たら右上ですね。
その歯が、硬めのおやつを食べているときに3ミリ角くらいでパキッと割れました。
割れた時は痛みはなく、衝撃もなくぽろっと取れた感じです。
何かしらでダメージが蓄積されていたのか、こんなに簡単に取れるのかと思うくらい簡単に欠けました。
元々少し薄くなっているなぁと感じてはいましたが、この状態で4年くらいは持っていたので油断していました。
欠ける時は簡単に欠けるんですね。
欠けた歯はどうすれば良いか
欠けた歯は捨ててしまっていました。
しかしその後、ネットで調べてみると欠けた歯は基本的に捨てない方が良いそうです。
牛乳につけて保存しておいた方がいいとか?
欠けたタイミングですぐにかかりつけの歯医者さんと相談した方がいいかもしれませんね。
私くらいの欠けであれば、欠けた歯をどうしたかすら聞かれることはありませんでした。
実際の治療
土曜日に欠けて、翌月曜日にすぐに職場の近くの歯医者さんに予約を取って駆け込みました。
まずはレントゲンを撮って欠けた部分を含めて全体の状況確認です。
職場に許可をもらって、仕事中に抜けてきていたというものあって治療を優先してもらうように依頼し、すぐに治療に取り掛かってもらいました。
肝心の治療はというと、以下の手順で、施術が始まってものの5分で終わりました。
- 欠けた部分を軽くドリルで削る。(表面の整形?)
- 粘土のようなものを当てて、光を4〜5回に分けてぴーっぴーっと当てる。
- 固まった粘土?の表面を軽く削って整形
- 噛み合わせチェックをして終了
最近の歯医者さんってすごいですね。
あっという間に元通りになりました。
むしろ欠ける前より調整がいいくらいです。

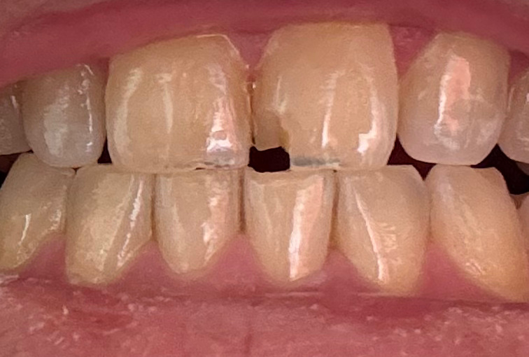
(↑治療後の歯の様子、クリックで拡大します。ただし閲覧注意です。)
保険は適用されたか
保険は適用されました。
前歯だからと言って保険は効かないということはないようです。
治療にかかった期間は?
レントゲン撮影を合わせて20分、受付から支払い完了まで35分くらいで終わりました。
上にも書きましたが、実際の治療にかかったのは体感5分くらいでした。
治療にかかった費用は?
3080円でした。
歯を抜いてインプラントにしなきゃいけないのかと思って覚悟をしていたのですが助かりました。
本当にありがたい。
何故欠けたのか
歯医者さん曰く、睡眠中に前歯だけ歯軋りをしているおそれがあるらしいです。
そのせいで削れてだんだん薄くなって、ダメージが蓄積された結果欠けてしまったそうで、虫歯が原因ではなかったようです。
歯医者さんにはナイトガードをつけることをお勧めされました。
これが虫歯が原因でかけたとしたらもっと治療に時間がかかっていたんでしょうね。
また、欠けても放置せずすぐに歯医者に行ったので、治療もあっという間に終わったんだと思います。
まとめ
今回は歯が欠けて、治療にかかった期間と費用のお話をしました。
治療期間は約5分、費用は三千円ちょっと。
最近の歯科の技術には驚きです。
みなさん、歯は大事にしましょう。
少しでも違和感を感じたらすぐに歯医者さんへ。
日々の歯のお手入れは念入りに。


コメント